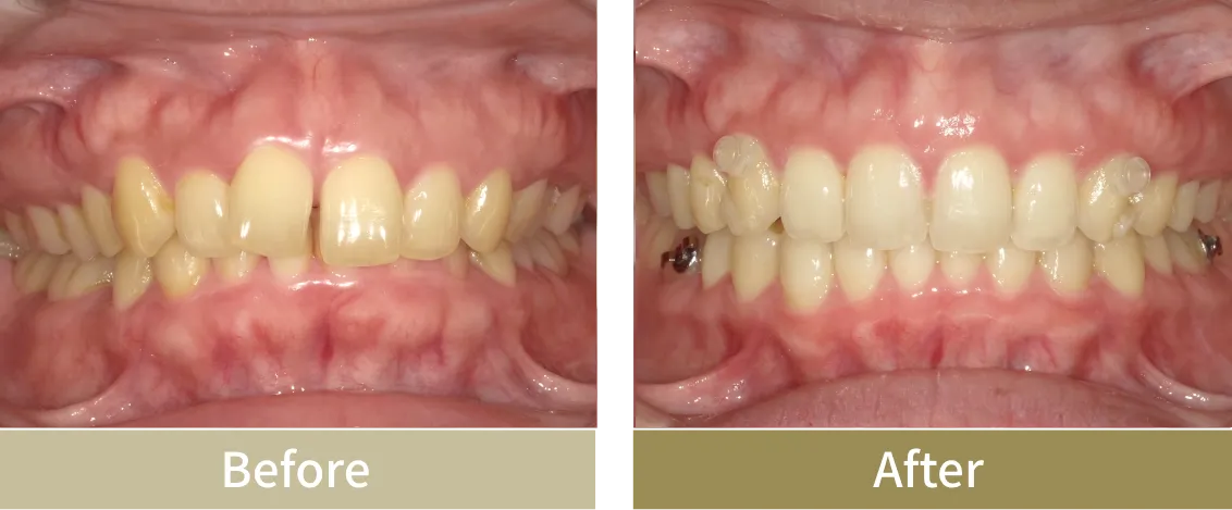
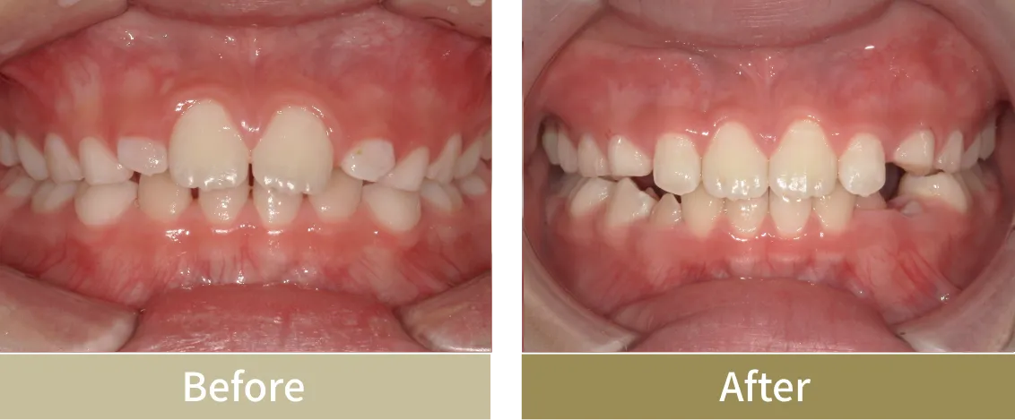
柏の葉駅から徒歩4分、歯並びにお悩みの方へ親身に対応します

院内コラム
Blog

Instagramからの投稿

Instagramからの投稿
よくある質問の第二弾です🤩質問等あればいつでもお聞き下さい#表側矯正#裏側矯正#部分矯正#MTM#ブラケット#ワイヤー矯正#小児矯正#成人矯正#後戻り#インビザライン矯正#マウスピース矯正#マウスピース生活#矯正歯科クリニック柏の葉#矯正歯科#矯正専門医#柏の葉キャンパス駅#徒歩4分#人生がときめく矯正を

  • このエントリーをはてなブックマークに追加

フォローする