透明で目立ちにくく、取り外し可能な装置です
透明なマウスピース型の装置を用いて治療を行います。
デジタルスキャン装置で一人一人の歯型を正確にとり、オーダーメイドで装置をつくって、治療の経過ごとに装置を変えていきます。
当院では2種類のマウスピースと、お子様のマウスピース矯正も取り扱っており、専門医による治療と幅広い実績により、多くの患者様に選ばれております。
治療・装置のメリット
- ポリウレタン製なので金属アレルギーの方でも快適に装着できます。
- 装置が目立たないので接客業の方や見た目を気にする方でも安心です。
- 痛みが少なく、装置を取り外して普段と同様に歯磨きや食事もできます。
- 虫歯になりにくく、口内炎などお口のトラブルも少ないです。
- 通院回数が少なくて済むので、お忙しい方や遠方の方にもおススメです。
デメリット
- 患者様ご自身が装置のつけ方、取り外し方など、日々の管理の仕方をしっかりとご理解頂き、実行して頂かないと治療の期間が伸びてしまいます。
- 歯並びの状態によっては適応が難しいケースもございます。
幅広い治療実績
大人の方の治療はもちろん、お子様の治療例もございます。比較的期間が短いものから、難症例まで、性別・年齢問わず様々な症状の患者様の歯並びと数多く向き合ってまいりました。
お子様の治療例
インビザラインファースト
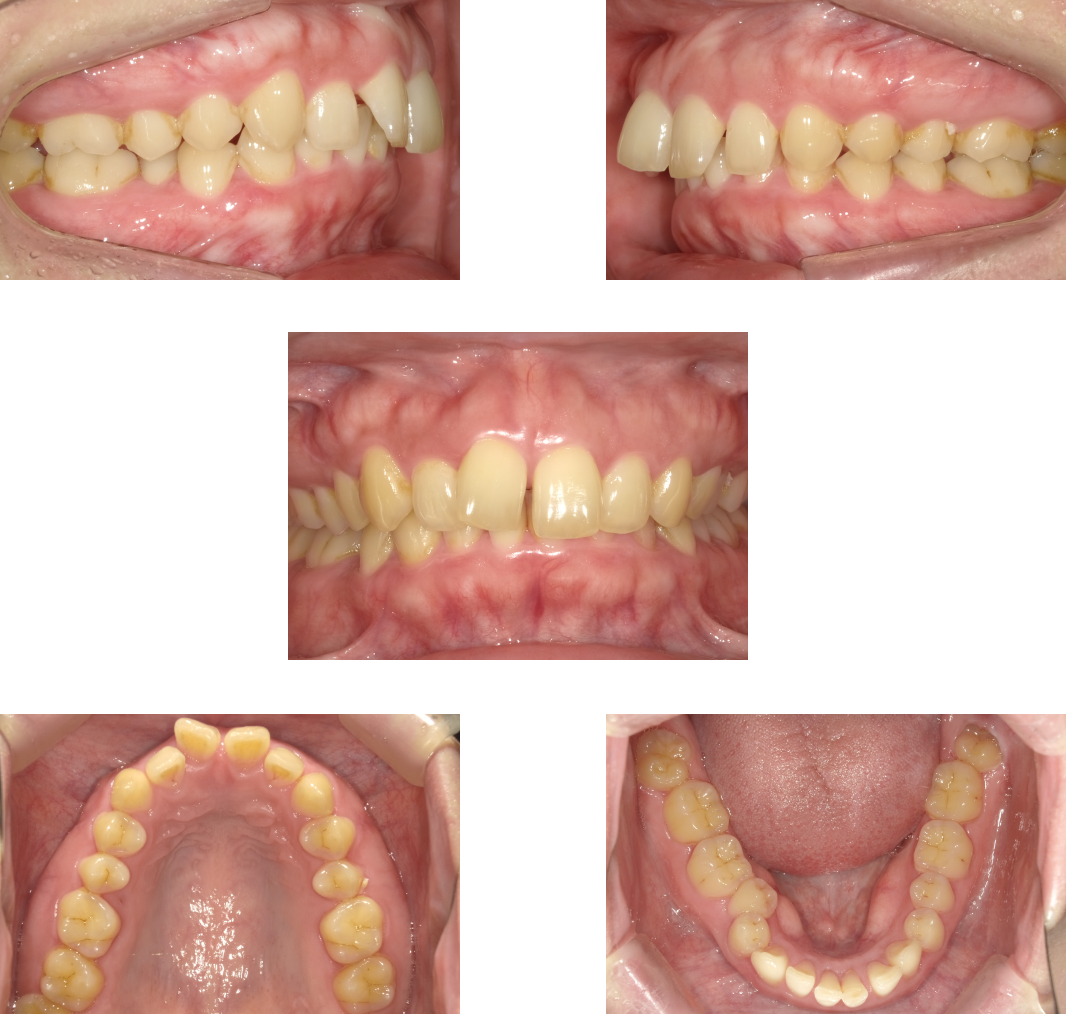
上顎前突 -7歳-
Before
After
- 診断
- 過蓋咬合を伴う重度骨格性上顎前突
- 治療期間
- 2年+保定期間2年
- 抜歯
- なし
- 料金
- 600,000+550,000円(調整料を含む。2期開始時分析料別途発生)
- リスク
- 痛み、軽度の歯根吸収、術後の変化
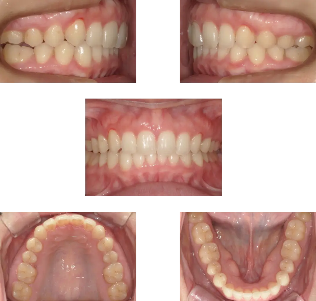
下顎前突 -7歳-
Before
After
- 診断
- 下顎前方成長、前方位、下顎叢生
- 治療期間
- 1年6ヶ月+保定期間1年6ヶ月
- 抜歯
- なし
- 料金
- 600,000+550,000円(調整料を含む。2期開始時分析料別途発生)
- リスク
- 痛み、軽度の歯根吸収、術後の変化
10代(非抜歯)の治療例
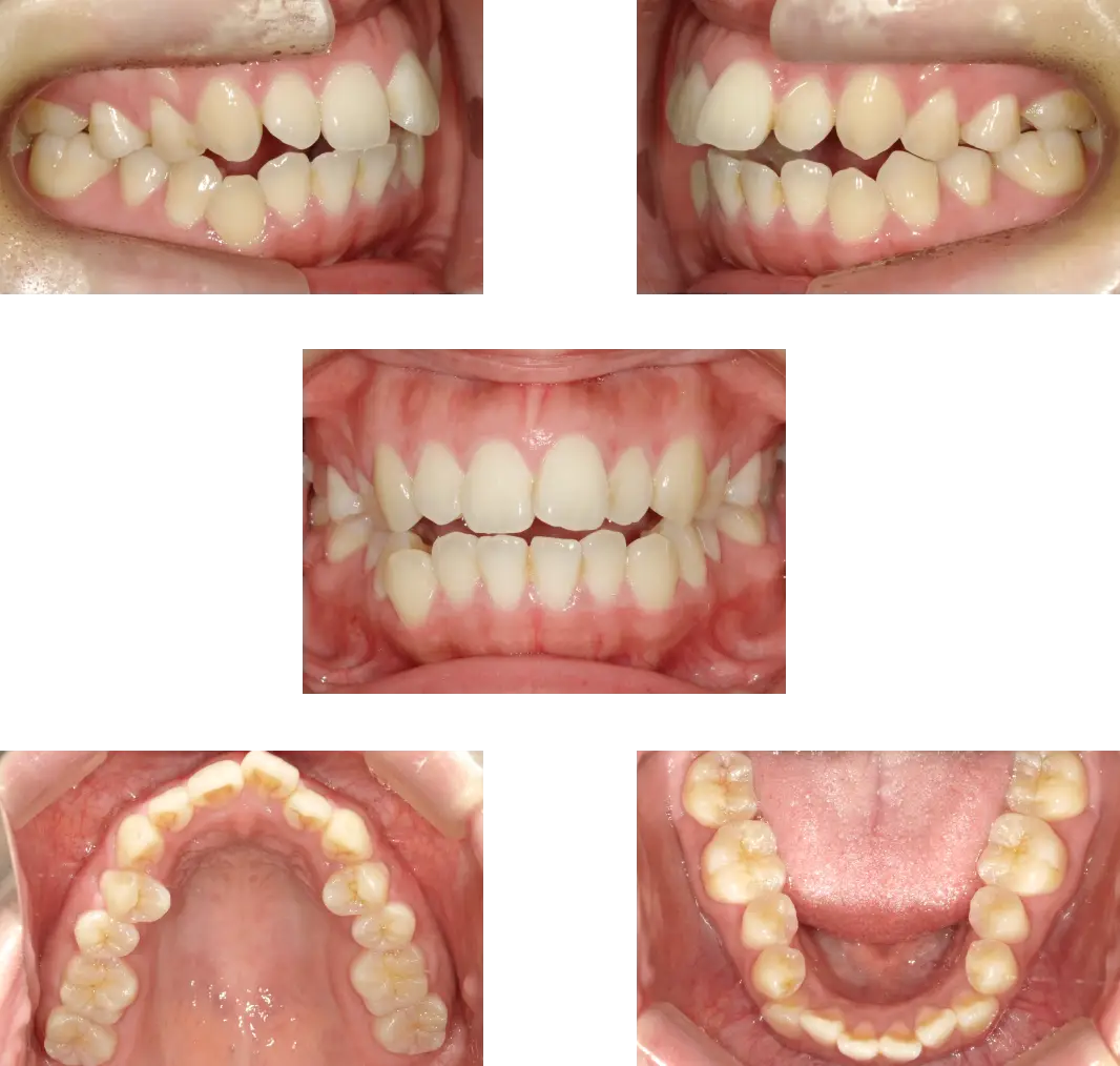
上顎前突 -14歳-
Before
After
- 診断
- 上顎前歯舌側傾斜、下顎前歯唇側傾斜を伴う骨格性2級過蓋咬合
- 治療期間
- 1年6ヶ月+保定期間1年6ヶ月
- 料金
- 1,100,000円
- 抜歯
- なし
- リスク
- 痛み、軽度の歯根吸収、術後の変化
10代(抜歯)の治療例
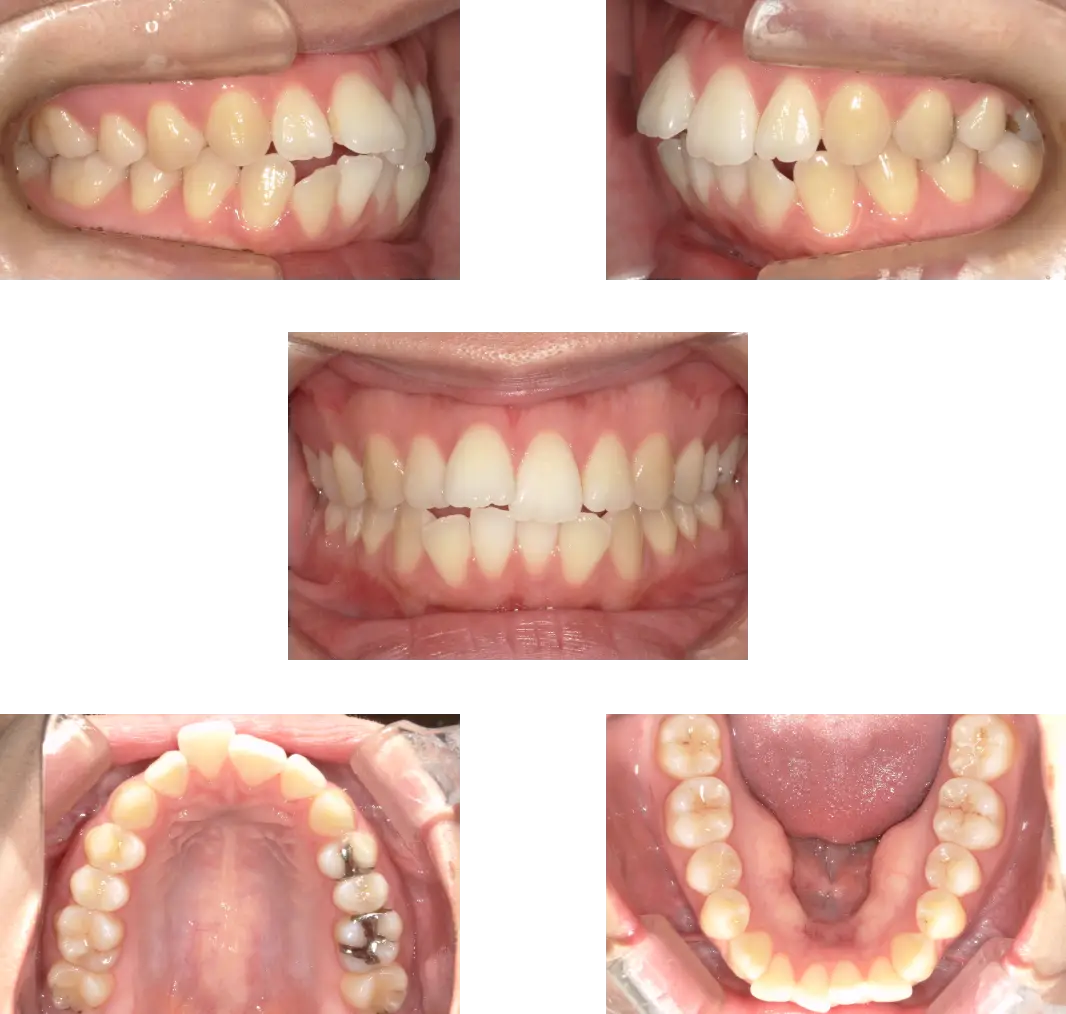
叢生 -15歳-
Before
After
- 診断
- 左側上顎犬歯低位、唇側転位
- 治療期間
- 2年+保定期間2年
- 料金
- 810,000円
- 抜歯
- あり
- リスク
- 痛み、軽度の歯根吸収、術後の変化
大人の治療例
インビザライン(非抜歯)の治療例
叢生 -39歳-
Before
After
- 診断
- 両側顎関節の変形
- 治療期間
- 1年6ヶ月+保定期間2年
- 料金
- 1,060,000円
- 抜歯
- なし
- リスク
- 痛み、軽度の歯根吸収、術後の変化
上顎前突 -22歳-
Before
After
- 診断
- 下顎骨後退を伴う骨格性上顎前突および開咬
- 治療期間
- 2年3ヶ月+保定期間2年
- 料金
- 950,000円
- 抜歯
- なし
- リスク
- 痛み、軽度の歯根吸収、術後の変化
抜歯を伴う治療例
上顎前突 -25歳-
Before
After
- 診断
- 叢生、上顎前突
- 治療期間
- 2年6ヶ月+保定期間2年
- 料金
- 1,176,000円
- 抜歯
- あり
- リスク
- 痛み、軽度の歯根吸収、術後の変化
通院回数・治療期間を最短で行うための治療環境
-
1.苦しい歯型取りが不要!口腔内をデジタルスキャン
歯科用CTによる細かな分析今までは歯型を採る時に、粘土のような材料で2-3分、お口の中を固めていたので、嘔吐反射のあるかたや、鼻呼吸の難しいかたには、とてもストレスのかかる作業でした。当院では口腔内スキャナーを使い、お口の中に触れずに正確な型取りを行なっております。
また、治療前にすべての患者様にレントゲンCTを撮り、歯を支える骨の量、幅、高さなど細かな分析による画像診断を行っております。 -
2.最先端の3Dダイレクトプリンターで、装置を院内で作成。
最短でお渡し可能。マウスピースの装置は注文し、完成して届くまで1週間前後かかることがほとんどですが、当院では、デジタルスキャナーで取得した歯型を元に、マウスピースの装置を院内にてワンストップで作成します。
これにより、装置が数日で完成するので、治療を最短で開始することができます。 -
3.デンタルモニタリングにより治療経過を遠隔で確認
装置の使用期間中にお手持ちのスマートフォンから専用アプリ内のカメラでお口の中を撮影することで、AIによる口腔内の分析、医院側での治療経過の状態を遠隔で確認することが出来ます。
これにより装置の交換頻度や定期検診などの来院回数が軽減され、治療期間の短縮にもつながります。 -
4.トータルで500症例を達成!年間100症例以上の症例実績
当院のドクターはインビザラインプラチナエリートの称号を取得しております。これはインビザラインの専門的知識や治療の実績において、高い水準のある歯科医師のみに与えられるステータスで、治療を受ける歯科選びの基準の一つとして重要視されております。
-
5.患者様の治療中の装置の扱い方を徹底的にサポート
治療期間が長くなってしまう原因の多くは、誤った装置の使い方にあります。マウスピース矯正はご自身での装着・管理が非常に大切です。
当院ではわかりやすい動画や資料を多数用意し、マンツーマンでの説明も交え、治療期間中の装置の使用方法をどこの医院よりも徹底的にサポートしていることが、治療期間の短縮につながっております。
矯正歯科専門の女性ドクターが担当。女性目線で、気配りを大切にしています。
浅田 薫
主な経歴
- 千葉県柏市出身
- 岡山大学歯学部卒業
- 昭和大歯科病院 臨床研修修了
- 日本大学附属歯科病院 矯正学講座入局
- Tweed Foundation Course修了
- Fellow Ship取得
所属団体
- 日本矯正歯科学会
- 東京矯正歯科学会
- 赤ちゃん歯科ネットワーク
- アメリカ矯正学会(AAO)
- 世界矯正歯科連盟(WFO)
- ヨーロッパ矯正学会(EOS)
- Orthodontics Institute Japan
マウスピース矯正のよくある質問
- 出っ歯なのですが、「マウスピース型装置の矯正(インビザライン)」はできるのでしょうか? 開く
-
出っ歯の場合でも「マウスピース型装置の矯正(インビザライン)」で治療することができます。
当院は、マウスピース型装置の矯正(インビザライン)で多くの患者様が上顎前突(出っ歯)の治療を行っておりますので一度ご相談ください。
- マウスピース型装置の矯正(インビザライン)の治療期間は通常の矯正に比べ、どのくらい違うのでしょうか? 開く
-
当院の患者様の治療期間を比較しますと、表側からのワイヤー装置とほぼ同じ期間で治療を終了されています。
マウスピース型装置の矯正(インビザライン)の場合は、予め枚数がわかりますので、マウスピース1枚当たりの日数を掛け合わせることでより正確に治療期間をご提示できます。
お子さまのマウスピース型装置による矯正治療
主に乳歯の生え変わり時期にあたる6歳〜10歳くらいのお子さまが対象の、子供用のマウスピース矯正です。歯並びの改善はもちろんのこと、歯列の拡大や指しゃぶりや舌の突出癖などの改善などもサポートできます。
装置の種類について
-
1.Invisalign first(インビザラインファースト)
小児用のインビザラインです。お子様の成長度合いに合わせて、しっかりとした治療計画を元に正しい生え変わりの位置を整えていきます。
・お子様の歯の動きを利用して歯並びを整えます。
・噛み合わせが悪化することも予防できます
・世界的に多くの実績があり、難症例にも対応できます。 -
2.Smartee(スマーティー)
デジタルデータとの連動による詳細な分析により、幅広い症例に対応できる 新しいマウスピース装置です。
・特徴的な材質でより難しい症状などにも柔軟に対応できます。
・AIと3Dシミュレーションによる詳細な分析
・キャラクターのパッケージなど、子供が喜んで使えそうなデザインが魅力です。 -
3.プレオルソ
歯ならびの原因となる筋肉のバランスを根本から整えます。素材がやわらかく、お口にフィットしやすい装置です。
・指しゃぶりなどの癖を改善します。
・装着時間が日中の1時間と就寝時のみと短めです。
・顎の骨の発育を促します。後戻りが起こりにくい装置です。 -
4.エンジェルアライナー
独自の技術で口腔内のデータを連携し、高精度な型取りを実現します。日本ではまだ導入している所が少ない装置です。
・耐久性に優れており、破損が比較的少ないです。
・日本人など、アジアの人向けに設計された装置なので違和感が少ないです。
・矯正力を調整するゴムが装置と一体化されています。
お子様が楽しく矯正治療を続けられるような
環境作り、サポートにつとめています
マウスピースの装着方法はもちろんのこと、お口のトレーニングやお子さま一人一人に向き合ったサポートを行います。
充実したキッズスペースの完備など、お子さまのモチベーションを保ち、通いたくなるような雰囲気や環境作りにも力を入れております。
インビザラインファーストを受けたお子様の声
画像をクリックしてご覧ください。
※ご本人、ご家族に掲載許可を頂いております。
治療を完了された患者さまの声
googleへ投稿いただいた口コミよりピックアップさせていただいております。
-
2021年頃からマウスピースでの矯正治療でお世話になりました。他の矯正歯科にも力ウンセリングに行きましたが、矯正歯科クリニック柏の葉さんが一番自分の希望に近い治療方針を提案をしてもらえたのが印象的だった為決めました。通院中も皆さん親切で、長期間でしたが無理なく通うことができました。歯並びもとても綺麗になり満足です。ありがとうございました。
-
インビザラインの橋正をしました。
40過ぎてからの矯正で痛みなど不安もありましたが、全く痛みもなく終了し嬉しいです。
娘共々お世話になりました。 -
マウスピース矯正をしました。アプリで写真を撮ることで通院回数が少なく、小さな子供がいてなかなか通院できない人や仕事が忙しい人におすすめです。先生はとても優しくて、受付や歯科衛生士さんもいい人たちばかりでした。
大人の患者さま
小児・TEENの患者さま
小児マウスピース矯正のよくある質問
- インビザラインファーストは何歳から出来ますか? 開く
-
6歳から可能になります。
ただ、生え変わりは個人差がありますのでお口の中を診させて頂き相談してからスタートになります。
- 学校などに付けていく際注意事項ありますか? 開く
-
昼食の時、マウスピースを外して食べると思うのですが昼食後出来たら歯ブラシをしてつけてほしいです。難しい場合、口はゆすいで下さい。
外した時にティッシュにくるんでしまうと捨ててしまう事が多いです。
付属のケースに入れて保管するようにして下さい。
初診のご予約はこちら!
ぜひお気軽にご相談ください
初診のご予約は、こちらの診療カレンダーにて、診療日、空いてる日時をご確認の上、「初診予約フォーム」よりいつでもお気軽にご予約下さい。また、お電話1本でもすぐにご予約を承りますので、お気軽にご連絡くださいませ。
お電話でのご予約はこちら
04-7199-8465
| 月(不定期)・火・水 | 11:00~19:00 |
|---|---|
| 金 | 10:00~18:00 |
| 土 | 9:00~18:00 |
| 月(第1週のみ診療)、 木、日 |
休診日 |



