適切な時期に適切な治療を
小児矯正は、永久歯がきれいに生えるよう、歯の位置を整えて正しい状態にもっていくことが主な目的です。
そのほか、指しゃぶりやほおづえなどのお口周りの癖や、生活習慣なども将来的な歯並びの乱れに影響を与える要因となります。
当院では、お子さまの年齢や症状に合わせたさまざまな治療の対応はもちろんのこと、お口の中のさまざまな機能を正しく整えるMFT(口腔筋機能療法)トレーニングを、お子さまが楽しく取り組める形で力を入れております。
治療の開始時期について
▼横にスクロールしてご覧ください。小児矯正治療は、一期治療と二期治療をセットで行います。一期治療のみでは治療が完了しませんので、予めご確認くださいませ。
みなさまからよくお聞かせいただくご質問を動画で答えております。まずはこちらをご覧ください。
-
一期治療 [乳歯列・混合歯列期] 3歳〜12歳
まだ歯の生え変わっていない乳歯から、永久歯に生え変わる時期までのお子さまが対象です。
この時期は、顎の骨の成長を利用し、顎を広げたりして歯の生えてくる位置を確保するような治療を行います。年齢や学年ではなく、永久歯の生え変わりのスピードやあごの大きさを見て判断します。お子様の成長にあわせて、なるべく歯を抜かず、時期に適した治療をしっかりと行います。
また、装置が入ると歯磨きがしにくくなり、虫歯になりやすくなるのでブラッシングも含めた、生活習慣上の注意事項もしっかりサポートします。 -
二期治療 中学生〜高校生
二期治療というのは、中学生以降、永久歯が生え変わったあとの治療になりますので、ほぼ成人矯正と同じ治療になります。ワイヤーの装置はもちろん、マウスピースの装置も使用できます。部活などで学生生活が忙しい時期かと思いますので、うまく両立できるよう治療計画をしっかり立てて取り組みます。
当院では10代のお子様の治療の実績が多数あり、非常に多くのご相談を承り、一人ひとり丁寧に対応させて頂いております。お悩みの方はぜひ一度、ご相談いただけたらと思います。
小児矯正治療に使用する装置の一覧
マウスピース型矯正装置
子ども用に作られたマウスピース型の装置を使った矯正治療です。中でもインビザラインファーストは、成人のマウスピース矯正と同様に、歯の形に合った専用の装置でしっかり矯正でき、当院でも多くのお子さまの治療実績がございますので、ぜひ一度ご相談下さい。
-

インビザラインファースト
-

Smartee
-

プレオルソ
-

エンジェルアライナー
お子様の治療例
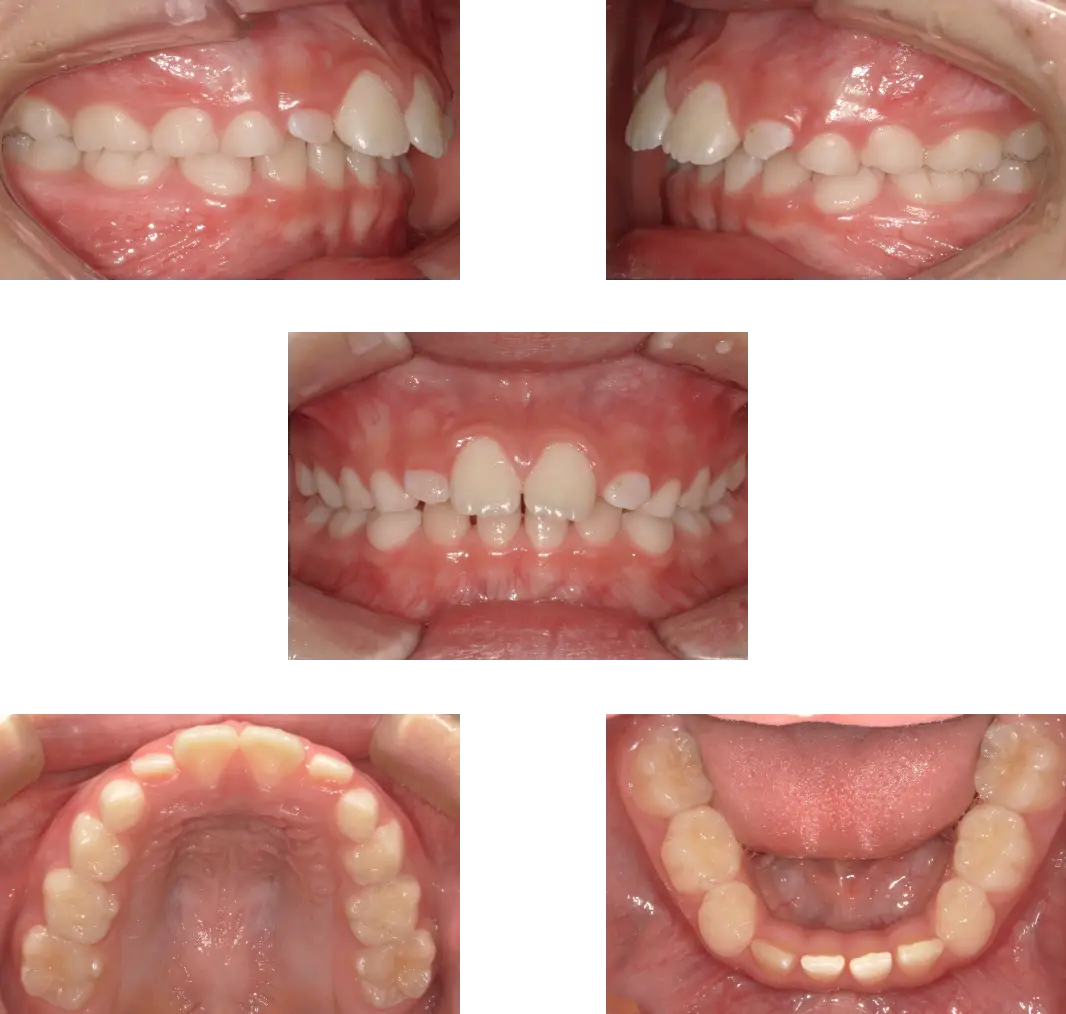
インビザラインファースト
上顎前突 -7歳-
Before
After
- 診断
- 過蓋咬合を伴う重度骨格性上顎前突
- 治療期間
- 2年+保定期間2年
- 抜歯
- なし
- 料金
- 600,000+550,000円(調整料を含む。2期開始時分析料別途発生)
- リスク
- 痛み、軽度の歯根吸収、術後の変化
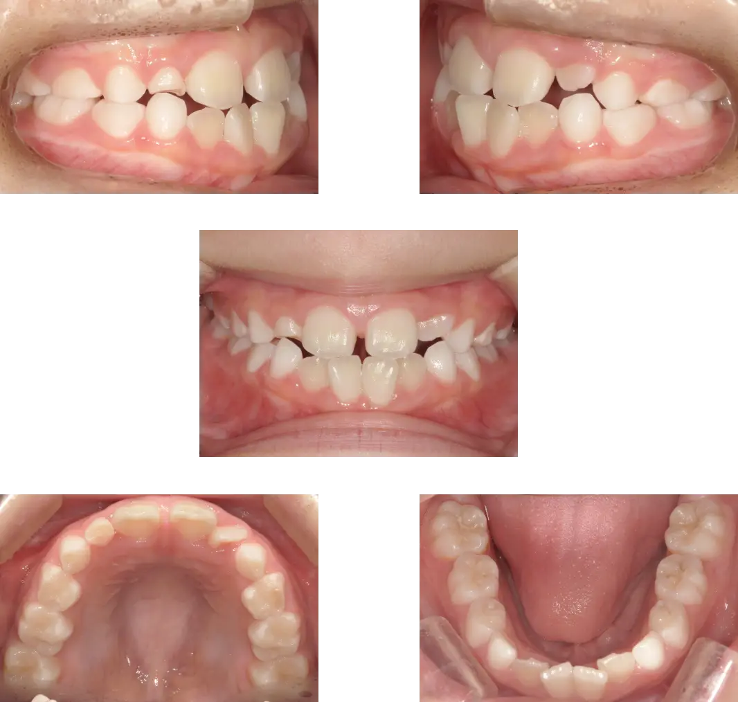
下顎前突 -7歳-
Before
After
- 診断
- 下顎前方成長、前方位、下顎叢生
- 治療期間
- 1年6ヶ月+保定期間1年6ヶ月
- 抜歯
- なし
- 料金
- 600,000+550,000円(調整料を含む。2期開始時分析料別途発生)
- リスク
- 痛み、軽度の歯根吸収、術後の変化
10代(非抜歯)の治療例
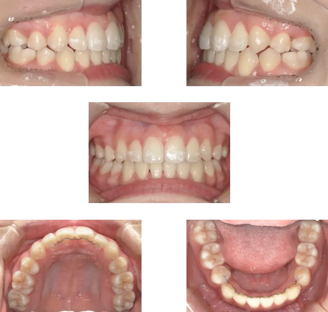
上顎前突 -14歳-
Before
After
- 診断
- 上顎前歯舌側傾斜、下顎前歯唇側傾斜を伴う骨格性2級過蓋咬合
- 治療期間
- 1年6ヶ月+保定期間1年6ヶ月
- 料金
- 1,100,000円
- 抜歯
- なし
- リスク
- 痛み、軽度の歯根吸収、術後の変化
10代(抜歯)の治療例
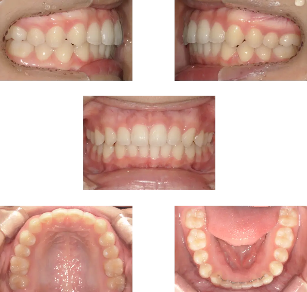
叢生 -15歳-
Before
After
- 診断
- 左側上顎犬歯低位、唇側転位
- 治療期間
- 2年+保定期間2年
- 料金
- 810,000円
- 抜歯
- あり
- リスク
- 痛み、軽度の歯根吸収、術後の変化
小児矯正で治療を完了された患者さまの声
googleへ投稿いただいた口コミよりピックアップさせていただいております。
-
インビザできれいな歯並びにしていただきました。時に励ましていただいたり、褒めていただいたりしながら続けることができました。
-
針金結正とマウスピース矯正どちらともさせていただきました。どちらもあまり強い痛みは出ず、二年半ほどやらさせていただきました。スタッフの方々の対応も良く、とても良くしていただきました。
-
兄の歯列矯正の際、お世話になりました。次男も歯並びを整えたいとの事から、通い続けてます。 院長はじめ、クリニックのスタッフの皆さまは、丁寧に対応してくださいますし、静かで落ち着く雰囲気です。
オンライン診察や、デンタルスキャンが導入され、通いの回数も少なく、ネット予約でき、支払いもスムーズ。治療の経過もととても満足しております。
インスタグラムでのリール動画でも公開しております。画像をクリックしてご覧ください。
※ご本人、ご家族に掲載許可を頂いております。
小児矯正治療のよくある質問
- インビザラインファーストなどで、アライナーをつけたまま体育や部活動はできる? 開く
-
サッカー、野球、吹奏楽などの部活動をする際も外れることはないので安心してお使いいただけます。
- 指しゃぶりは、歯ならびに関係ありますか? 開く
-
歯並びに影響はあります。頻度が減ってきている様子がなく、昼間もよくしゃぶり、指タコがはっきりとわかるような場合は、開咬(前歯だけが開いている)や上顎前突(出っ歯)になる可能性が高く、歯列、咬合、発音、舌癖、口元などに影響が出てきます。
程度も重い場合が多いのが特長です。 特に学童期(6歳~12歳)では、自然に止めるのは難しく、そのため歯並びも悪化しやすくなります。
それまでに指しゃぶりが止めれない場合には、小児歯科や矯正歯科等による治療や指導を要します。
動画形式でのご質問もまとめております。ぜひ合わせてご覧下さい。
MFTトレーニング
MFT(口腔筋機能療法)とは、お口のまわりのバランスを整えて鼻呼吸を促し、歯並びを乱す原因を取り除き、本来の歯並びを
取り戻すことにつなげる療法です。
幼少期のお口の癖や口呼吸などは、歯への継続的な負担により早めに改善しないと、口周りの筋肉のバランスが乱れたり、歯が移動してしまい、歯並びが悪くなる原因と繋がっていくのです。
口腔機能発達不全症
- 口呼吸
- 発音が悪い
- お口ぽかん
- 舌が前に出る
- くちゃくちゃ音がする
症状を放置すると・・・
↓
歯並びに影響を与えます
口腔筋機能療法(MFT)
- 舌の位置と姿勢の改善
- 正しい飲み込みの定着
- 鼻呼吸の定着
- お口の周囲の筋肉などの機能を正しい方向へ導く
↓
悪い歯並びを予防
MFTの種類と内容について
MFTトレーニングには下記のようなものがあり、当院では動画や院内でのMFT教室実施により、サポートしております。
スポット
安静時と嚥下を行う時の舌の正しい位置を改善
ポスチャー
口唇と舌の正しい姿勢位を覚える
ポッピング
舌全体の挙上・下の筋を伸ばす
サッキング
舌の横側の筋肉を鍛える
タンクドラッグ
舌を正しい位置に位置づける
MFT教室のご案内
当院では毎週土曜日に予約制にて、お子さま向けにMFT教室を実施しております。
初めての方は必ず第1土曜日のトレーニング1回目から受けていただきます。2回目以降はどちらから受けていただいてもかまいません。
工作などの遊びも取り入れながら、楽しくお口周りのトレーニングをいたします。
舌のトレーニング 正しい飲み込み方 お口遊び
第1〜第4 土曜日
時間:11:30〜12:30
第1土曜日のMFT教室を1番最初に受けて頂きます
※手鏡をお持ち下さい。
スケジュール例
[第1土曜日]あいうべ体操/スポット
[第2土曜日]ベロまわし/ポスチャー/ポッピング
[第3土曜日]ベロのばし/サッキング/タングドラッグ
[第4土曜日]リップトレーサー/スラープスワロー
各週で口育あそびの時間があります。
- 一度受けた週でも、ご希望がございましたら何回でも受けていただけます。
- ご兄弟の方も別途追加料金にて受けていただけます。
- 当院で治療されていない方でも、有料にてご参加いただけます。
初診のご予約はこちら!
ぜひお気軽にご相談ください
初診のご予約は、こちらの診療カレンダーにて、診療日、空いてる日時をご確認の上、「初診予約フォーム」よりいつでもお気軽にご予約下さい。また、お電話1本でもすぐにご予約を承りますので、お気軽にご連絡くださいませ。
お電話でのご予約はこちら
04-7199-8465
| 月(不定期)・火・水 | 11:00~19:00 |
|---|---|
| 金 | 10:00~18:00 |
| 土 | 9:00~18:00 |
| 月(第1週のみ診療)、 木、日 |
休診日 |



